学校日記

3年・理科・花粉管の伸長の観察

公開日
2021/06/17
更新日
2021/06/17

3年生

6月17日(木) 2限

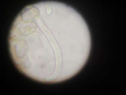
 3年3組の理科は、科学室で、シロツメクサの花粉管の伸長の観察をしました。
 柱頭に見立てた寒天溶液に花粉をつけると、10分程度で、花粉に変化が見られました。

 (写真 上:花粉管が伸びている花粉を100倍で観察)
 (写真 中:花粉管が伸びている花粉を400倍で観察)